Niềng răng mắc cài sứ giá bao nhiêu tiền? niềng răng mất bao lâu? Niềng răng chỉnh nha là phương pháp hữu hiệu cho những ai đang gặp những rắc rối về sự lệch lạc của răng trên cung hàm. Tuy nhiên, những phương pháp niềng răng bằng mắc cài kim loại truyền thống thường chưa làm vừa lòng khách hàng bởi không đem lại yếu tố thẩm mỹ trong quá trình chỉnh nha. Niềng răng mắc cài sứ là phát minh tiến bộ so với những kỹ thuật mắc cài trước đó. Niềng răng mắc cài sứ giá bao nhiêu tiền? niềng răng trong suốt giá bao nhiêu? Nha khoa Đăng Lưu sẽ giúp bạn trả lời câu hỏi này.
![]() |
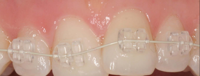
| Niềng răng mắc cài sứ |
Niềng răng mắc cài sứ là gì?
Niềng răng mắc cài sứ là thủ thuật sử dụng các mắc cài và dây thun tạo lực kéo tác động dịch chuyển răng đến vị trí thích hợp, kỹ thuật này tương tự như niềng răng mắc cài kim loại. Tuy nhiên, khung khí cụ chỉnh nha được làm bằng sứ trong suốt, trùng với màu răng thật nên đảm bảo hiệu quả thẩm mỹ hơn cho bệnh nhân.
Niềng răng mắc cài sứ thường được bác sĩ chỉ định cho những trường hợp:
Răng bị hô, móm, lệch lạc.
Răng mọc sai khớp cắn.
Răng mọc khấp khểnh.
Tuy nhiên, cài sứ không có khả năng chịu lực mạnh mẽ như mắc cài kim loại truyền thống nên bác sĩ thường không chỉ định cho những bệnh nhân thường xuyên chơi thể thao, vận động mạnh vì rất dễ bị bung gãy mắc cài. Trong những trường hợp này, niềng răng mắc cài kim loại sẽ là sự lựa chọn phù hợp hơn cho bạn. Vậy niềng răng mắc cài sứ giá bao nhiêu tiền?
Niềng răng mắc cài sứ giá bao nhiêu tiền?
Với mong muốn giúp bệnh nhân dễ dàng đưa ra lựa chọn khi thực hiện điều trị nha khoa, trung tâm đưa ra mức chi phí niềng răng mắc cài sứ hợp lý nhất cho khách hàng. Bạn vui lòng tham khảo bảng giá mắc cài sứ dưới đây:
Mắc cài sứ Trọn gói 32.000.000 – 38.000.000
Mắc cài tự đóng(Sứ) Trọn gói 40.000.000 – 42.000.000
Mắc cài tự đóng(Sứ trắng) Trọn gói 46.000.000 – 48.000.000
So với mắc cài kim loại truyền thống, mắc cài sứ đem lại những hiệu quả vượt trội sau cho khách hàng trong quá trình chỉnh nha:
Chất liệu sứ chế tác nên mắc cài được sử dụng từ sứ nguyên chất, có màu trắng trong, trùng với màu răng tự nhiên tạo hiệu quả thẩm mỹ cao trong quá trình niềng răng. Vì vậy, khi bệnh nhân mang mắc cài sứ trên răng, người khác rất khó nhận ra là bạn đang niềng răng.
Các mắc cài sứ có khả năng dịch chuyển các răng ổn định, phù hợp không thua kém gì các mắc cài kim loại truyền thống. Vì vậy, thời gian niềng răng được thực hiện nhanh chóng và đúng như dự tính của bác sĩ trước đó.
Các mắc cài sứ được chế tác có độ trơn bóng, giúp hạn chế sự hình thành mảng bám, sự nhiễm màu do thực phẩm và việc vệ sinh cũng dễ dàng hơn. Vì vậy, bệnh nhân tránh được các bệnh lý răng miệng trong thời gian chỉnh nha.
Chất liệu sứ có độ cứng không thua kém răng thật , khó bị bào mòn khi tồn tại lâu dài trong môi trường miệng. Điều này đảm bảo không ảnh hưởng đến khả năng niềng răng của mắc cài, giúp việc điều trị diễn ra thuận lợi theo đúng phác đồ.
Niềng răng mắc cài sứ giá bao nhiêu tiền? Để biết được câu trả lời cụ thể và lựa chọn phương pháp chỉnh nha thẩm mỹ này cho mình, bạn hãy nhanh chóng đến trực tiếp nha khoa Đăng Lưu để được các bác sĩ khám và tư vấn cụ thể hơn.
Bài viết
được trích nguồn tại: http://implantdangluu.com
Thông tin
liên hệ:
Trung tâm nha khoa Đăng Lưu
Cơ sở 1: 34 Phan Đăng Lưu, P.6, Q.BìnhThạnh - (+84 8) 6297 7148
Cơ sở 2 : 540 Trần Hưng Đạo, P.2, Q.5 - (+84 8) 6682 0246
Hotline: 08 3803 0578
TG: VT
